Metamorfozy

Uśmiech to więcej niż wygląd — to pewność siebie i sposób, w jaki widzimy świat. Nasze metamorfozy pokazują, jak profesjonalna praca specjalistów potrafi odmienić życie.

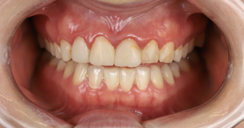
przed

po

Wykonane zabiegi

all-on-6licówkikoronyimplanty

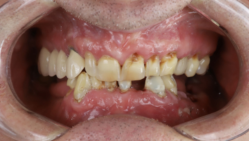
Pacjent w podeszłym wieku zgłosił się z powodu silnego bólu i obrzęku. Tak zaczęła się odbudowa.

Ze względu na stan zdrowia pacjenta nie można było wprowadzić implantów. A dawny most protetyczny musił byc wykorzystany. Cała estetykę i funkcje trzeba było podporządkować pod dawną odbudowę.

Cel

  • usunięcie stanów zapalnych zagrażających zdrowiu
  • uratowanie jak największej ilości zębów
  • poprawa funkcji co umożliwi jedzenie i mowę
  • poprawa estetyki, dostosowana to obecnego mostu

Leczenie obejmowało

  • usunięcie zniszczonych zębów i korzeni – dr Anna Nowak
  • leczenie kanałowe – dr Aleksandra Bukiel
  • leczenie, bezpośrednia odbudowa i bonding zębów górnych i dolnych – dr Anna Nowak
  • wykonanie protezy dolnej – dr Aleksandra Markowska

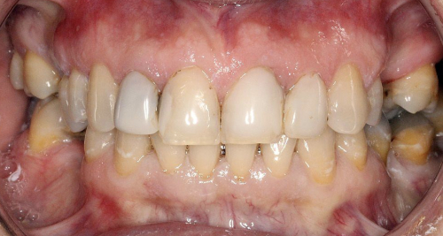
przed

po

Wykonane zabiegi

all-on-6licówkikoronyimplanty

Lekarz

dr. Anna Nowak

Proces

Młoda pacjentka zgłosiła się z powodu krwawiących dziąseł, nieszczelnym i złamanym bondingiem.

Leczenie obejmowało: zdjęcie dawnego bondingu który wywołał stan zapalny dziąsel; dokładna higienizacja; odbudowa zębów górnych nowym szczelnym bondingiem i dwiema licówkami

przed

po

Wykonane zabiegi

all-on-6licówkikoronyimplanty

Lekarz

dr. Anna Nowak

Proces

Młoda pacjentka ze startymi zębami i brakiem zębów zgłosiła się na odbudowę.

Leczenie obejmowało: implanty i korony na implantach; odbudowa startych zębów i poprawa estetyki za pomocą indywidualnie charakteryzowanych licówek ceramicznych

przed

po

Wykonane zabiegi

all-on-6licówkikoronyimplanty

Lekarz

lek. dent. Agnieszka Wołcz-Kobylańska

przed

po

Wykonane zabiegi

all-on-6licówkikoronyimplanty

Lekarz

lek. dent. Agnieszka Wołcz-Kobylańska

przed

po

Wykonane zabiegi

all-on-6licówkikoronyimplanty

Lekarz

dr. Anna Nowak

Proces

Odbudowa braków zębów, na górze metodą all-on-6 czyli w prowadzenie 6 implantów i przykręcenie mostu na stałe, mostu nie trzeba zdejmować. Na dole wykorzystane zęby pacjentki, odbudowane licówki i uzupełnione braki koronami wspartymi na implantach.

przed

po

Wykonane zabiegi

odbudowa kompozytemlicówkikorony

Lekarz

dr. Anna Nowak

Proces

Odbudowa zębów górnych licówkami i koronami na implantach. Na dolnych zębach częściowa odbudowa kompozytem.

przed

po

Wykonane zabiegi

all-on-6implantykorony

Lekarz

dr. Anna Nowak

Proces

Leczenie pacjentki z uzębieniem resztkowym, w złym stanie. Na górze odbudowa braków zębów metodą all-on-6 – wprowadzenie 6 implantów i przykręcenie mostu na stałe. Na dole proteza wsparta na 2 implantach.

przed

po

Wykonane zabiegi

rekonstrukcję kości szczękilicówki ceramiczneimplanty

Lekarz

dr. Anna Nowak

Proces

Proces obejmował rekonstrukcję kości szczęki, wprowadzenie implantów oraz odbudowę protetyczną. Całość dopełniły licówki ceramiczne na dolnych zębach, które podkreśliły naturalny wygląd.

przed

po

Wykonane zabiegi

rekonstrukcję kości szczękilicówki ceramiczneimplanty

Lekarz

dr. Anna Nowak

przed

po

Wykonane zabiegi

rekonstrukcję kości szczękilicówki ceramiczneimplanty

Lekarz

dr. Anna Nowak

przed

po

Wykonane zabiegi

rekonstrukcję kości szczękilicówki ceramiczneimplanty

Lekarz

dr. Anna Nowak